MEDICAL
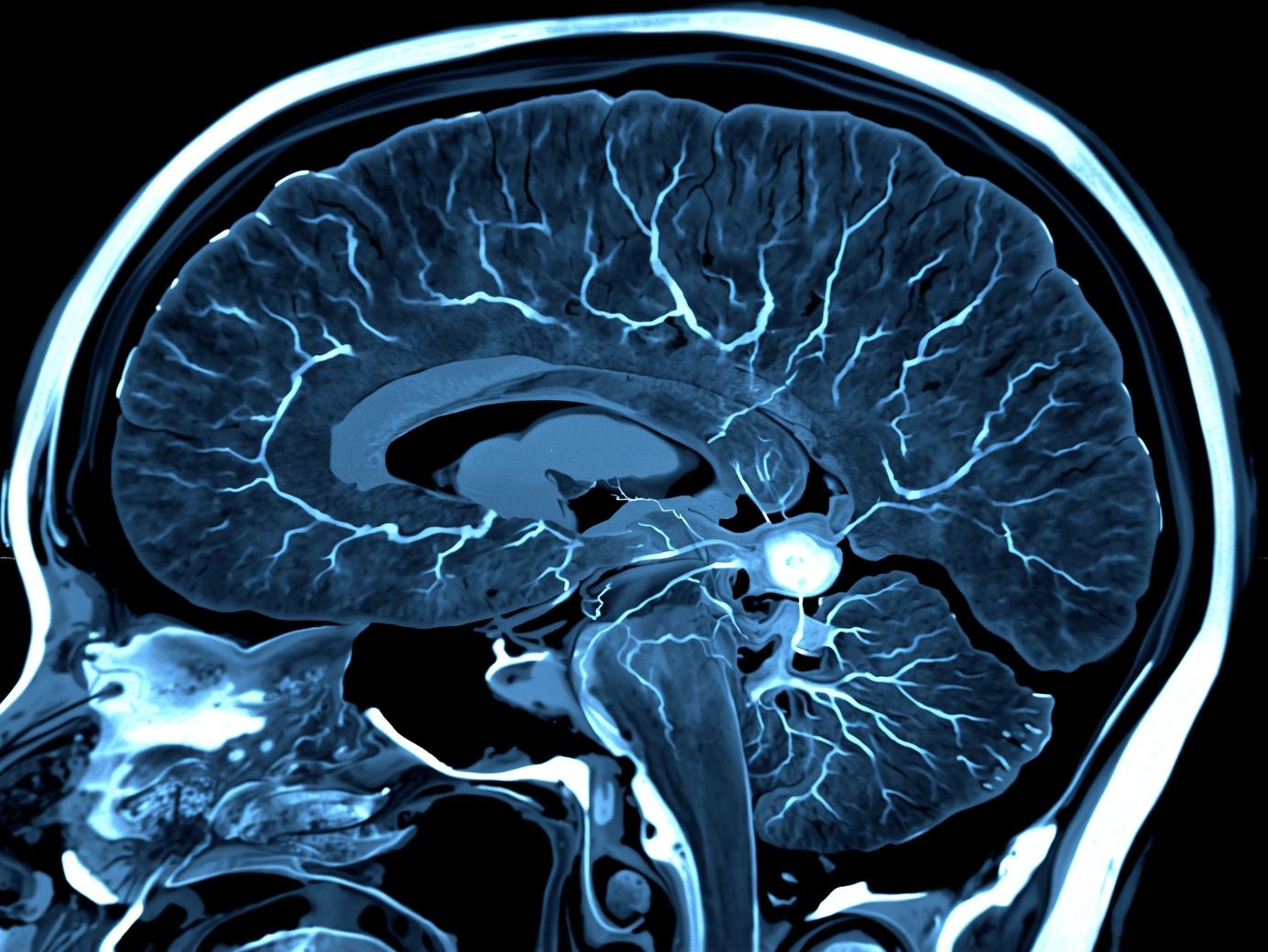
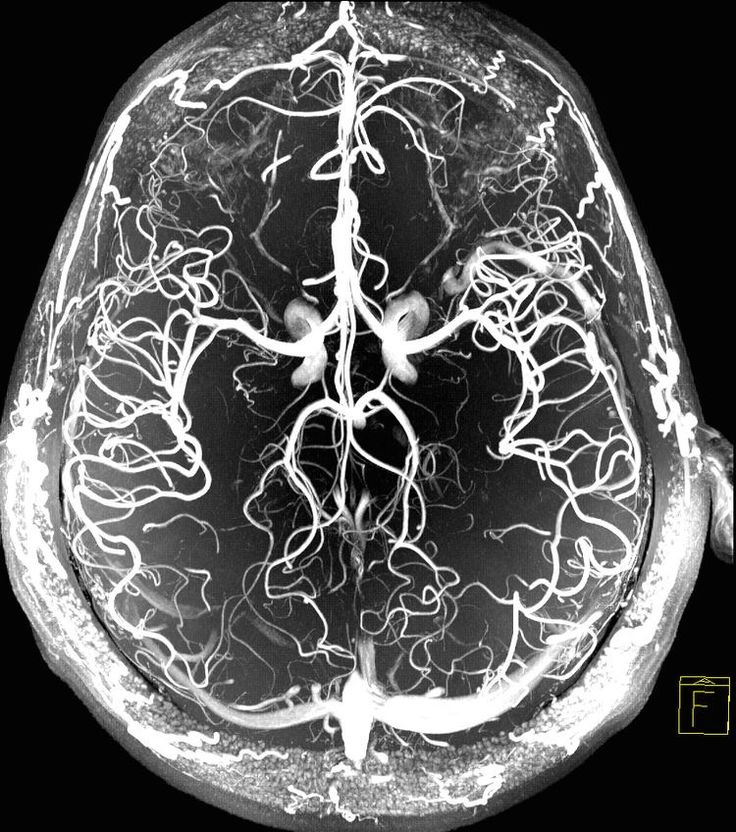
脳腫瘍、脳血管障害、脊椎脊髄疾患、頭部外傷、水頭症、頭痛、など脳神経外科一般に対応しています。 MRI、CT、シンチグラフィー、PETなどの最新の画像診断が可能です。
下垂体腫瘍は、多くが良性で、ゆっくりと進行します。ただし、腫瘍の位置やホルモンへの影響により、体にさまざまな症状が現れることがあります。
ラトケ嚢胞は、胎生期に下垂体が形づくられる過程で生じるラトケ嚢の遺残からできる、良性の嚢胞性病変です。
頭蓋咽頭腫は、下垂体の近くにできる良性の脳腫瘍です良性腫瘍に分類されますが、周囲の大切な組織と強くくっついていることがあり、治療は決して容易くありません。また、再発することもあるため、手術後も長期的な経過観察が必要です。
脳動脈瘤とは、脳の血管が一部ふくらみ、コブ状になったものです。未破裂の状態では症状が出ないことが多く、健康診断や脳ドックで偶然見つかるケースが増えています。ただし、破裂するとくも膜下出血という重篤な状態を引き起こすため、適切な評価と治療の判断が重要です。
頚動脈は、脳に血液を送る重要な血管です。この血管が動脈硬化によって狭くなる状態を「頚動脈狭窄症」といいます。多くは無症状ですが、脳への血流が低下し、一時的な麻痺(TIA)や脳梗塞の原因になることがあります。
良性脳腫瘍・・・(ここは不要?)
脳腫瘍には数多くの分類があります。大きくは「良性」と「悪性」に分けられ、どちらかによって治療の方針が変わります。良性の脳腫瘍は、手術で取りきることで治ることも多くあります。
©︎学校法人日本医科大学武蔵小杉病院脳神経外科